Bệnh nhiễm trùng ống tiêu hóa trên hàu phẳng, do ký sinh trùng Marteilia refringens gây ra, là một vấn đề nghiêm trọng trong nuôi trồng thủy sản, đặc biệt ảnh hưởng đến loài hàu phẳng (Ostrea edulis). Bệnh này có thể dẫn đến tỷ lệ tử vong cao và gây thiệt hại đáng kể cho ngành công nghiệp nuôi hàu
Nguyên Nhân Gây Bệnh
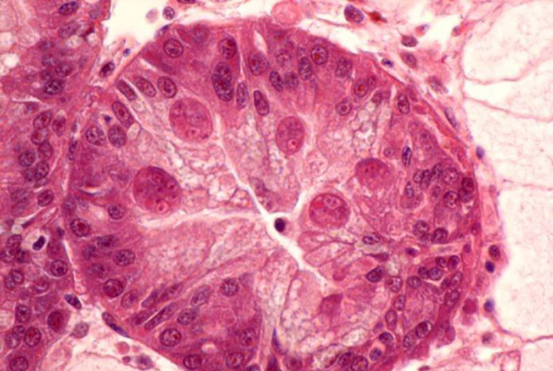
Marteilia refringens là một loại ký sinh trùng thuộc ngành Paramyxea, gây ra bệnh “marteiliosis” ở hàu phẳng. Ký sinh trùng này xâm nhập và phát triển trong các tế bào biểu mô của ống tiêu hóa hàu, đặc biệt là trong dạ dày và tuyến tiêu hóa. Quá trình sinh bào tử diễn ra trong các ống tuyến tiêu hóa, sau đó được giải phóng vào lòng ống tiêu hóa và thải ra môi trường qua phân. Các bào tử này có thể tồn tại từ vài ngày đến 2-3 tuần, tùy thuộc vào điều kiện môi trường.
Triệu Chứng Nhận Biết
Hàu bị nhiễm Marteilia refringens có thể biểu hiện các triệu chứng sau:
-
Đổi màu biểu mô tuyến tiêu hóa: Biểu mô có thể chuyển sang màu nhợt nhạt hoặc khác thường.
-
Ngừng tăng trưởng: Hàu ngừng phát triển kích thước và trọng lượng.
-
Suy giảm tình trạng mô: Mô cơ thể hàu trở nên yếu và kém săn chắc.
-
Giảm dự trữ glycogen: Lượng glycogen trong cơ thể hàu giảm, ảnh hưởng đến năng lượng dự trữ.
Tuy nhiên, trong một số trường hợp, hàu có thể bị nhiễm bệnh mà không biểu hiện bất kỳ dấu hiệu rõ ràng nào.Phân Bố và Ảnh Hưởng
Bệnh do Marteilia refringens gây ra đã được ghi nhận ở nhiều khu vực nuôi hàu trên thế giới, đặc biệt là ở châu Âu. Ngoài hàu phẳng, ký sinh trùng này cũng được báo cáo gây bệnh ở các loài hai mảnh vỏ khác như nghêu (Solen marginatus), ngao (Chamelea gallina) và vẹm (Xenostrobus securis).

Biện Pháp Phòng Ngừa và Quản Lý
Hiện chưa có phương pháp điều trị hiệu quả đối với bệnh do Marteilia refringens gây ra. Do đó, việc phòng ngừa và quản lý bệnh là rất quan trọng:
-
Lựa chọn địa điểm nuôi phù hợp: Chọn vùng nuôi có nguồn nước sạch, ít biến động và tránh ô nhiễm để giảm nguy cơ nhiễm bệnh.
-
Thực hành quản lý tốt: Áp dụng các biện pháp quản lý nuôi trồng an toàn, bao gồm kiểm soát mật độ nuôi, đảm bảo chất lượng nước và cung cấp thức ăn đầy đủ dinh dưỡng.
-
Giám sát và phát hiện sớm: Thường xuyên kiểm tra sức khỏe hàu để phát hiện sớm các dấu hiệu nhiễm bệnh. Khi phát hiện hàu nhiễm bệnh, cần cách ly và xử lý kịp thời để ngăn chặn sự lây lan.
-
Tham vấn chuyên gia: Liên hệ với các cơ quan thú y thủy sản và chuyên gia để được hướng dẫn cụ thể về biện pháp phòng ngừa và quản lý bệnh.
Việc hiểu rõ về bệnh nhiễm trùng ống tiêu hóa trên hàu phẳng và áp dụng các biện pháp phòng ngừa hiệu quả sẽ giúp giảm thiểu thiệt hại và duy trì sự phát triển bền vững trong nuôi trồng hàu.
Lưu ý: Nội dung trên website được tổng hợp từ nhiều nguồn tin khác nhau, mọi thông tin chỉ có tính tham khảo. Nếu có bất kỳ tranh chấp nội dung liên quan tới bản quyền, vui lòng gửi liên hệ: 0949.339.222. Chân thành cảm ơn!



